NeuViz 64 – это инновационный автоматизированный компьютерный томограф для получения высококачественных изображений за несколько секунд. Позволяет быстро и эффективно диагностировать заболевания и планировать лечение.
Уникальный комплекс технологий: Quad Sampling, O-Dose и ClearView улучшает разрешение снимков за счет прямого и высокоточного преобразования сигнала в цифровую форму, что обеспечивает исключительное качество изображений. Это позволяет визуализировать мельчайшие анатомические структуры и получать подробную диагностическую информацию.
В NeuViz 64 используются методы оптимизации дозы для минимального радиационного воздействия без ущерба качеству изображения. Это особенно важно для педиатрических пациентов и лиц, нуждающихся в многократном сканировании.
Передовые технологии эффективной визуализации и высокочувствительный детектор позволяют уверенно диагностировать все типы заболеваний сердца и коронарных сосудов.
Оптимизированный и интуитивно понятный пользовательский интерфейс помогает специалисту легко и быстро настраивать необходимые протоколы сканирования и проводить исследования.
Это идеальный выбор для специализированных клиник и диагностических центров, в том числе в педиатрии.
Сферы применения:
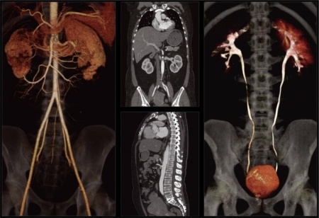
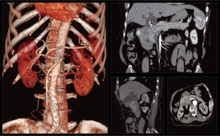
- Диагностическая визуализация: оценка различных состояний путем получения подробных изображений поперечного сечения тела, включая органы, кровеносные сосуды и кости.
- Онкология: выявление злокачественных опухолей, метастазов, определение стадии и планирование лечения.
- Гастроэнтерология: исследование нарушений работы желудочно-кишечного тракта.
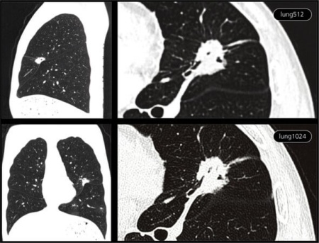
- Пульмонология: выявление заболеваний и аномалий развития органов дыхательной системы, обнаружение пневмонии, бронхитов, туберкулеза.
- Кардиология: диагностика сердечно-сосудистых заболеваний, визуализация сердца и кровеносных сосудов.
- Травма и неотложная помощь: оценка травмы, обнаружение переломов и оперативное выявление внутреннего кровотечения.
- Неврология: диагностика неврологических состояний, таких как инсульт, опухоли головного мозга и черепно-мозговые травмы.
- Ортопедия: оценка состояния опорно-двигательного аппарата, выявление изменений суставов и дегенеративных заболеваний.
- Педиатрия: оценка врожденных пороков, аномалий развития, состояния внутренних органов и диагностика травм.
- Интервенционные процедуры: контроль инвазивных процедур, включая биопсию, установку дренажей и сосудистые вмешательства. Визуализация в режиме реального времени помогает направлять размещение инструментов и отслеживать прогресс.
Преимущества
-
Высокая скорость сканирования – 64-срезовые снимки дают возможность сканировать органы за меньшее количество вращений компьютерного томографа, что сокращает время обследования пациента.
-
Итерационная реконструкция ClearView улучшает качество изображений за счет уменьшения шума, артефактов и других помех. В результате сканирования врач получает максимально четкие и точные снимки.
-
Технология Quad-Sampling повышает пропускную способность и обеспечивает высокое разрешение снимков, что позволяет специалисту максимально детально изучить анатомические структуры.
-
Новый современный дизайн компьютерного томографа помогает пациентам чувствовать себя спокойно и расслабленно. Большой и просторный гентри, регулируемый стол, отсутствие шума во время сканирования и многое другое разработано с учетом комфорта для пациентов с любым весом и ростом.
-
Универсальность. Компьютерный томограф поддерживает различные клинические применения, включая рутинную диагностическую визуализацию, оценку травм, сосудистые исследования и интервенционные процедуры. Универсальность делает его подходящим для различных групп пациентов и диагностических требований. Изображения высокого разрешения, создаваемые NeuViz 64, могут помочь в выявлении опухолей, мониторинге их роста и оценке эффективности лечения.
-
Расширенные функции визуализации. Компьютерный томограф предоставляет ряд инструментов постобработки для реконструкции, анализа и 3D-визуализации изображений.
-
Низкая доза радиации. Высокоэффективный детектор способен при минимальном радиационном воздействии сохранить качество изображений.
- Удобный и интуитивно понятный интерфейс. Компьютерный томограф имеет простые элементы управления, что позволяет медицинским работникам легко ориентироваться в протоколах исследования, настраивать необходимые параметры в соответствии с конкретными потребностями пациента.
Особенности
- Современная технология оптимизации аппаратного обеспечения O-Dose использует передовые алгоритмы и методы настройки параметров воздействия процесса визуализации, что приводит к снижению доз облучения для пациентов.
- Возможность подключения и управление данными. NeuViz 64 предлагает варианты подключения для плавной интеграции с системами PACS и другими устройствами визуализации.
- Широкий спектр клинического применения. NeuViz 64 предназначен для проведения различных визуализирующих исследований, включая кардиологические, неврологические, ангиографические исследования и визуализацию всего тела.
- Высокая безопасность. Интегрированная система управления позволяет контролировать дозу лучевого облучения, что дает возможность безопасно проводить обследования детей на компьютерном томографе.
- Удобное программное обеспечение имеет множество протоколов исследования, включая педиатрические протоколы, которые разработаны специально для детской анатомии.
- Оптимизированный рабочий процесс обеспечивает связь с больничными информационными системами. Это улучшает производительность в медицинских организациях, так как упрощает процессы хранения, поиска и извлечения информации о пациентах.
- Увлекательная графика внутри портала компьютерного томографа, способная изменять цвет в зависимости от фазы сканирования, развлекает и успокаивает детей и взрослых.
- Программный пакет AVW имеет полный набор клинических приложений, которые обеспечивают продвинутый анализ и современную обработку изображений.
Принцип работы
Перед началом работы необходимо включить компьютерный томограф и дождаться процесса инициализации. Специалист устанавливает подходящую высоту подвижного стола, просит пациента снять металлические предметы и лишнюю одежду. Затем удобно укладывает обследуемого на подвижный стол и при необходимости фиксирует ремнями. После этого стол задвигается внутрь портала компьютерного томографа. На основе интересующей области и состояния пациента специалист выбирает конкретный протокол сканирования и настраивает параметры. При необходимости перед исследованием вводится контрастное вещество. Через несколько секунд после запуска сканирования врач получает на монитор компьютера все снимки с высоким разрешением
Характеристика
|
Количество линеек детекторов |
64 |
|
Минимальная толщина среза |
0,62 мм |
|
Диаметр апертуры гентри |
72 см, наклон ± 30 ° |
|
Диапазон сканирования |
1750 мм |
|
Скорость оборота |
0,5 - 2 сек |
|
Время сканирования |
1,5 - 18 сек |
|
Максимальное время сканирования |
100 сек |
|
Количество проекций |
4640 |
|
Высота стола |
430 - 970 мм |
|
Всего каналов на срез |
1344 |
|
Скорость подачи стола |
1 мм/сек - 160 мм/с |
|
Мощность генератора |
50 кВт |
|
Размер фокусного пятна |
0,6 мм х 1,2 мм (минимальный); 1,1 мм х 1,2 мм (большой). |
|
Скорость охлаждения |
815 KHU/min |
|
Поддержка DICOM |
да |
|
Рентгеновская трубка |
5,0 МHU |
|
Грузоподъемность стола |
205 кг |
Оплатить заказ вы можете, не выходя из дома или рабочего кабинета. Этапы оплаты для юридических лиц и ИП:
- Выберите необходимые товары на сайте.
- Свяжитесь с менеджером, чтобы перечислить интересующие позиции и узнать стоимость. Для этого нажмите кнопку «получить предложение», напишите на почту web@fujitora.com, закажите обратный звонок или позвоните по телефону в Москве 8 (495) 665-0-663.
- Предоставьте менеджеру данные вашей организации: название, адрес, ИНН (для поставщиков медоборудования – это реквизиты клиники, куда планируется поставка).
- Далее вы получите на электронную почту коммерческое предложение.
- Если стоимость и условия оплаты и доставки вас устраивают, наш сотрудник вышлет вам договор и счет на оплату.
- Проверьте документы и оплатите выставленный счет с расчетного счета вашей организации.
- После зачисления денежных средств мы организуем доставку товара на указанный адрес. Доставка осуществляется в любой населенный пункт или город в пределах Российской Федерации.
- Отслеживать статус доставки вам поможет менеджер, который курирует заказ.
Юридические лица для оплаты товаров перечисляют денежные средства на расчетный счет компании «Фуджитора». Оплатить заказ можно в любом банке России, в том числе онлайн. Оплата медоборудования государственными ЛПУ проходит строго в соответствии с законами РФ: 44-Ф3 и 223-Ф3.
Мы работаем с государственными ЛПУ, коммерческими клиниками, дистрибьюторами медицинского оборудования и физическими лицами. Всем нашим клиентам мы предоставляем удобные и безопасные условия оплаты:
- Частный сектор (коммерческие медцентры и поставщики оборудования) оплачивает оборудование по безналичному расчету.
- Продажа медтехники государственным медучреждениям осуществляется в соответствии с законами РФ: 44-Ф3 и 223-Ф3.
- Физические лица оплачивают товары путем перечисления денежных средств на расчетный счет компании – в любом банке России и без открытия банковского счета.

























































































































