Возможности лучевой диагностики в эпоху пандемии COVID-19
Спустя годы нынешний период времени вполне может быть войдет в историю как «эпоха COVID-19». Сейчас, когда эпидемия находится в самом разгаре, большинство людей волнует своевременность диагностики и начало лечения нового для человечества заболевания. В данной статье мы постарались разобраться, какие существующие методы диагностики могут быть максимально эффективны и какое оборудование потребуется в ближайшее время лечебным учреждениям российской системы здравоохранения для борьбы с пандемией.
Быстрое распространение этой инфекции, отсутствие специальной вакцины, охват заболеванием всех возрастных групп населения требует со стороны системы здравоохранения ответных комплексных мер для минимизации последствий инфицирования. В связи с этим особую актуальность приобретает быстрая и качественная диагностика COVID-19 у пациентов.
Лабораторная диагностика COVID-19 и связанный с ней вирус SARS-CoV-2 возможно двумя основными методами: молекулярное распознавание и серологическое тестирование. Молекулярные методы используют полимеразную цепную реакцию (ПЦР) наряду с тестами на нуклеиновые кислоты и другими передовыми аналитическими методами для обнаружения генома вируса. Серологическое тестирование использует ИФА антитела тест — наборы для обнаружения присутствия антител иммунной системы против вируса.
Основной проблемой лабораторной диагностики ковид 19 является большое количество ложноотрицательных тестов, особенно при неправильном заборе биоматериала или отсутствие понимания стадии заболевания.
Поэтому в ситуации, когда есть клинические проявления заболевания, такие как непродуктивный сухой кашель, слабость, лихорадка, затрудненное дыхание, но отсутствуют положительные результаты лабораторных тестов на коронавирус, основным способом для дифференциального исследования COVID-19 становится лучевая диагностика: компьютерная томография (КТ), рентгенография (РГ) и ультразвуковое исследование (УЗИ).
Компьютерная томография при диагностике COVID-19
КТ является самой информативной методикой лучевой диагностики при заболевании COVID-19. Компьютерная томография очень четко показывает специфические изменения в тканях легких, которые проявляются при этом заболевании. Выявление на КТ легких выраженных изменений позволяет, например, при отсутствии клинической симптоматики предупредить развитие дыхательной недостаточности и вовремя госпитализировать пациента. В случае же, когда на КТ присутствуют минимальные изменения легочной ткани или легочная ткань вообще не поражена, то лучевая диагностика позволяет избежать госпитализации пациентов, которые могут проходить терапию дома. Это дает возможность разгрузить больничные места для тех, кто действительно нуждается в срочной помощи и респираторной поддержке, в том числе инвазивной вентиляции легких (ИВЛ).
Компьютерный томограф Philips Ingenuity Elite 128 (Нидерланды)
Признаки COVID19 на снимках компьютерной томографии
Компьютерная томография позволяет обнаружить специфические изменения, даже при отсутствии симптомов ковид. На КТ-изображениях вирус может проявляется в виде двустороннего затемнения («матовая стенка») и легочных уплотнений. Также на ранней стадии выявления вируса появляются узловатые затемнения, периферическая локализация, симптом «булыжной мостовой». Одним из признаков проявления коронавирусной инфекцией может служить и одиночное узловое затемнение на легочной ткани. У некоторых пациентов именно этот признак был выявлен на ранней стадии заболевания, когда еще не появились клинические признаки. Также важно отметить, что на снимках отсутствует лимфаденопатия (увеличение лимфатических узлов), легочные деструкции и плевральный выпот (избыток жидкости в соединительной ткани).
В Москве, которая стала российским городом, лидирующим по ежедневному приросту инфицированных пациентов, сейчас работает 45 амбулаторных КТ-центров для диагностики пациентов с подозрением на коронавирус. Эти центры открыты при городских поликлиниках. Они имеют кабинеты компьютерной томографии для точного установления диагноза. Однако, маловероятно, что эта практика может быть использована в других городах России. Так как количество компьютерных томографов, работающих в них, значительно уступает количеству КТ в Москве, Московской области и Санкт-Петербурге. Если в городах-миллионниках еще есть возможность оперативно получить эту услугу хотя бы на коммерческих началах, то в регионах существующие кабинеты компьютерной томографии располагаются в крупных больницах, которые сейчас часто предназначаются для приема пациентов с COVID-19.
Поэтому при всей высокой специфичности проявления коронавируса на КТ ведущим методом лучевой диагностики при пандемии в большинстве стран мира, в том числе и в России, по-прежнему остается рентгенография.
Рентгенография при диагностике COVID-19
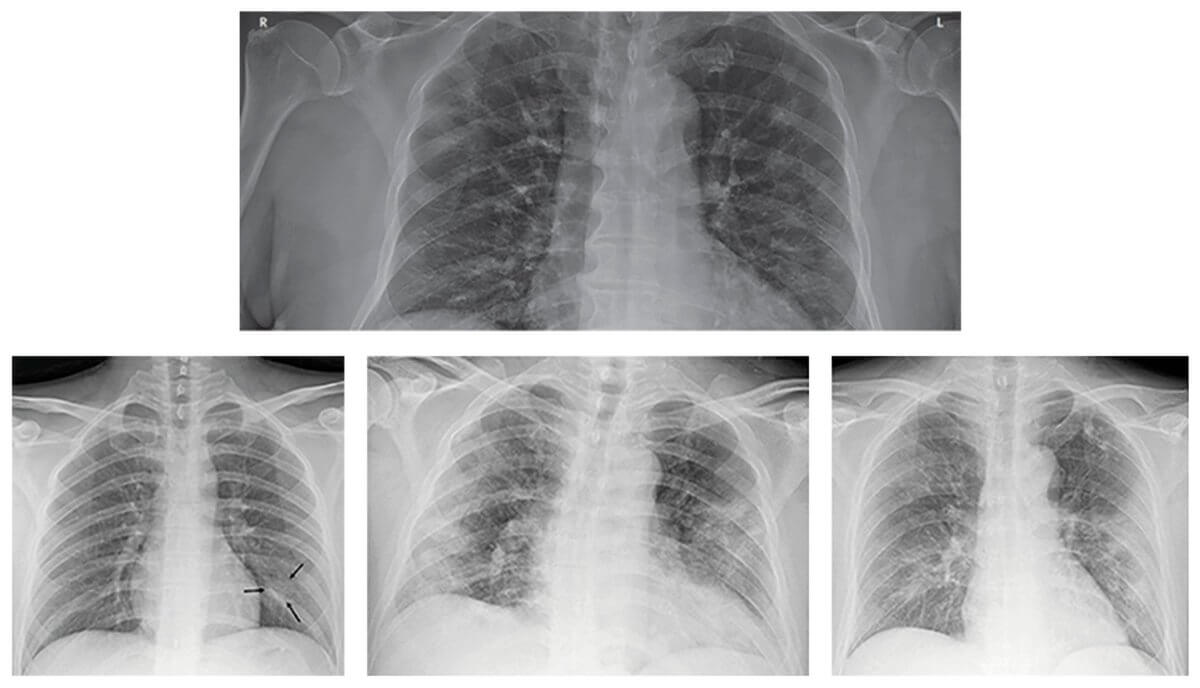
Рентгенография позволяет выявить специфические изменения в легочной ткани. На снимках зараженного человека есть совокупность признаков, которая говорит о заражении коронавирусной инфекцией.
На снимках проявляется усиление легочного рисунка, узловатые затемнения воздушных путей, могут появляться локальные уплотнения. И также, как на КТ-снимке, врач рентгенолог может увидеть синдром «матового стекла» и эффект «булыжной мостовой». Рентген показывает периферические локализации, которые, как правило, располагаются ближе к грудной клетке и дальше от сердца.
Вот как описывают изменения на рентгенографии доктора, работающие в больницах Гонконга с января 2020 года:
Несмотря на высокую специфичность и чувствительность КТ, в сложившихся условиях рентгенография имеет ряд неоспоримых преимуществ. Рентгеновское исследование занимает гораздо меньше времени, чем компьютерная томография, а специалист в случае сомнения в интерпретации результатов всегда может отправить пациента на КТ.

Однако, даже при проведении рентгенографии на стационарных рентген-аппаратах российские медицинские учреждения могут столкнуться с целым рядом проблем. В больнице, как правило, одно рентген-отделение, и в ситуации быстрого распространения инфекции, оно не способно справляться с увеличившимся в разы наплывом первичных пациентов. Это связано со сложным процессом стерилизации стационарного рентген-аппарата. В заявлении рабочей группы Американского колледжа радиологии (ACR) центрам диагностической визуализации рекомендуется предусмотреть вентиляцию в помещениях с немобильными рентгенографическими системами или КТ-аппаратами — «эти помещения необходимо закрывать на вентиляцию на один час между приёмами пациентов, в зависимости от уровня циркуляции воздуха.»
Если же говорить о развертывании полевых госпиталей, то в них не всегда возможно установить стационарный рентгенографический аппарат. Требуются специальные помещения, которые строго регламентированы по метражу, толщине стен, размерам проходных проемов, особенностям крепления аппаратов и в которых предусмотрена специальная защита от ионизирующего излучения. Сейчас в одной только Москве подготавливается 44 временных госпиталя для борьбы с коронавирусом. Такие площадки готовятся в районе 2-7 дней. Временные госпитали оборудуют, в частности, на ВДНХ, в Сокольниках и в Крылатском. 12 мая заработает госпиталь в «Крокус Экспо», который сможет принять около 1000 пациентов. Такие же временные госпитали, если пандемия будет развиваться, могут быть развернуты и в других регионах страны.
В ситуации, когда возникают сложности с использованием стационарных рентгенодиагностических комплексов, оптимальным решением становится применение мобильных (палатных) рентгеновских аппаратов. Они позволяют выполнять не только первичную диагностику, но и отслеживать течение заболевания. Снимок на мобильном аппарате может сделать не только врач-рентгенолог или рентген-лаборант, но и средний медицинский персонал за счет простоты использования данного оборудования.
Мобильные рентгеновские аппараты могут быть или цифровыми, или аналоговыми. Могут быть представлены как в виде моноблоков, так и в виде переносных аппаратов, закрепленных на мобильном основании. Для проведения РГ в условиях коронавирусной инфекции несомненным приоритетом является цифровая обработка изображения, гарантирующая его более высокое качество. Цифровые мобильные системы обеспечивают более высокую скорость работы за счет наличия компьютерной станции обработки снимков, предназначенной для “онлайн” оценки их качества и последующего сохранения. Это позволяет оценить последующую динамику заболевания при сравнении цифровых снимков легких пациента. Моноблочные цифровые мобильные рентгены, как правило, отличаются от других передвижных цифровых аппаратов мощностью генераторов. Для палатных рентгенов обычной является мощность 3-30 кВт, а для стационарных аппаратов она варьирует от 40 кВт до 80 кВт. Таким образом, качество изображения на стационарном рентгенографической аппаратуре мощностью 40 кВт и мобильном рентгене с мощностью 30 кВт является сопоставимым. При этом, чем выше мощность генератора, тем короче время экспозиции и меньше лучевая нагрузка для пациента.
Казалось бы, что выбор очевиден и все закупаемые мобильные устройства должны являться палатными моноблоковыми рентгенами с мощностью 30 кВт. Однако, когда в условиях эпидемии при распределении финансовых средств, полученных больницами для борьбы с коронавирусом, приоритеты отдаются оборудованию для лечения пациентов и средств защиты медицинского персонала, то очень часто закупаются переносные палатные цифровые рентгены с минимальной мощностью. Они позволяют достаточно качественно решать локальные задачи в условиях пандемии. Их использование обеспечивает широкий первичный диагностический охват пациентов и возможность оценить динамику заболевания. Купить переносной рентген можно с недорого устройствами по сравнению с другими цифровыми аппаратами, они прекрасно дополняют существующую структуру рентгенодиагностических кабинетов в российских лечебных учреждениях Снимок на мобильном аппарате может сделать не только врач-рентгенолог, но и средний медицинский персонал за счет простоты использования данного оборудования.
Палатный рентген на мобильном основании EcoTron EPX-F2800 (Южная Корея)
Таким образом, для проведения цифровой рентгенографии легких для диагностики COVID-19 существует большое количество возможностей при выборе необходимого оборудования в зависимости от тех задач, которые решает лечебное учреждение.
УЗ диагностика COVID-19
Согласно рекомендациям Минздрава РФ для диагностики коронавирусной инфекции можно использовать и ультразвуковое исследование. УЗ-исследование показывает состояние плевральной полости и диафрагмы, а также мягких тканей грудной стенки и ребер. Большой минус данного типа исследования в том, оно не способно помочь доктору оценить состояние легочной ткани. На УЗ-изображении при коронавирусе можно увидеть интенсивное однородное затемнение, изменения диафрагмы, субтотальное затемнение легкого. УЗИ гораздо менее информативно и специфично, чем КТ или РГ. Ультразвуковое исследование не позволяет рассмотреть небольшие изменения в рисунке легкого, подобраться к структуре корней легкого или увидеть тяжистые затемнения. На УЗ-исследовании можно установить факт пневмоторакса (скопление воздуха) легкого, но насколько деструктивны эти изменения, врач понять не сможет. Именно это делает УЗИ резервной методикой, используемой в крайних случаях.
Ультразвуковой аппарат MySono U6 Samsung Medison
В заключении хочется отметить, что лабораторная и лучевая диагностика прекрасно дополняют друг друга, отвечая за решение параллельных задач. Лабораторное тестирование необходимо для подтверждения заражения вирусом сovid 19. Без лабораторного подтверждения врачи могут лишь подозревать у пациента диагноз коронавируса. Лучевая же диагностика нужна врачам для того, чтобы увидеть полную клиническую картину заболевания и оценить степень его тяжести и динамику. Широкий спектр современных аппаратов для лучевой диагностики, начиная от компьютерных томографов последнего поколения и заканчивая мобильными рентгенами небольшой мощности, цена на цифровые рентген-аппараты, ставшая гораздо более доступной за последние годы, дают возможность полноценного проведения первичной лучевой диагностики у пациентов с коронавирусом практически в любых российских медицинских учреждениях.
|
Дата актуализации
|
05.08.2024 |


