Выявляет ли рентгенография COVID-19?
Насколько эффективно работает рентгенография при выявлении признаков COVID-19? Недавние исследования показали, что рентген, уступая КТ в точности диагностики, тем не менее, может сыграть свою роль в обуздании пандемии коронавируса.
Первые научные статьи из китайского Уханя превозносили способности КТ выявлять повреждения легких, свидетельствующие об инфицировании человека вирусом SARS-CoV-2. Ценность рентгенографии была поставлена под сомнение в результатах научной работы, проведенной в Южной Корее: исследователи обнаружили, что рентген пропустил три четверти легочных узлов, связанных с COVID-19, позднее найденных с помощью КТ.
Но дальнейший анализ показал, что рентгенография все же может быть полезна для выявления COVID-19 при условии, что врачи будут знать о присущих ей ограничениях. Рентген является недорогим методом диагностики, рентгеновское оборудование — легкое в управлении, и его мобильность позволяет проводить обследование пациента прямо в больничной палате, не подвергая персонал радиографического отделения дополнительной угрозе инфицирования.
А применение новых технологий, таких как искусственный интеллект (ИИ) может повысить полезность рентгенографии, автоматизировав анализ рентгеновских снимков грудной клетки.
Рентгенография при коронавирусе: что работает, а что нет?
Как и прочие новости о COVID-19, результаты новых клинических исследований, посвящённых использованию рентгена в борьбе с пандемией поступают сейчас в большом количестве и со всех сторон. Мы аккумулировали результаты наиболее важных работ.
Низкая чувствительность, высокая специфичность.
Чувствительность рентгенографии составила 25% при выявлении затемнений в легких, вызванных COVID-19, говорится в статье, опубликованной 30 марта в журнале Radiology: Cardiothoracic Imaging. В исследовании участвовали 20 пациентов из Южной Кореи, которые были обследованы доктором Хьевонг Чой и его коллегами. При этом специалисты обнаружили, что специфичность рентгенографии была на уровне 90%.
Исследователи отметили, что хотя КТ может быть основным диагностическим методом выявления случаев COVID-19, «в эксплуатационном плане выполнение КТ сканирования является более сложным», особенно учитывая необходимость проведения дезинфекции сканера.
Цель исследования Чоя – определить эффективность рентгенографии, сравнив ее с эффективностью обнаружения затемнений на КТ изображениях легких тех же пациентов. Эти значения затем сравнивались с заключениями восьми радиологов, интерпретирующих рентгенограммы и определявших тип обнаруженных затемнений.
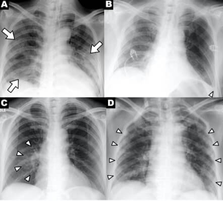
На фото: Серия рентгеновских снимков грудной клетки пациентов с COVID-19, показывающих клинические признаки болезни: А) неоднородные уплотнения, В) плевральный экссудат, С) перихилярная локализация и D) периферическая локализация. Снимки предоставлены RSNA.
Исследователи отметили, что врачи должны учитывать результаты исследований при интерпретации рентгеновских снимков грудной клетки пациентов с подозрением на COVID-19 или выбирая наилучший способ диагностической визуализации.
«Врачи и радиологи должны учитывать, что заболевание может быть более распространенным, чем это можно предположить по рентгенам грудной клетки, и что рентгенография может иметь ограничения в части мониторинга масштаба заболевания», — к такому выводу пришел Чой со своей командой.
Меньшая чувствительность по сравнению с ДНК анализом
Еще одно исследование, результаты которого были опубликованы 27 марта в журнале Radiology, обнаружило, что, хотя рентгенография работает более эффективно, чем считалось, её чувствительность все равно отстаёт от чувствительности ДНК анализа на COVID-19. В этом исследовании д-ра Фрэнк Хо Йуэн Вонг и его коллег из Гонконга рентгенография показала чувствительность на уровне 69% по сравнению с 91% у ДНК анализа по методу полимеразной цепной реакции с обратной транскрипцией (RT-PCR).
Исследователи проанализировали снимки 64 пациентов, прошедших обследование в четырёх гонконгских больницах в период с января по март 2020 года. Они обнаружили, что признаки COVID-19 были такими же, что и на КТ: двусторонние, периферические уплотнения и/или симптом матового стекла. Уплотнения были наиболее распространёнными признаками на рентгеновских снимках у 47% пациентов, при этом симптомы матового стекла имелись только у 33% пациентов.
Вонг с коллегами также обнаружил, что тяжесть симптомов на рентгеновских снимках пациентов с COVID-19 была максимальной на 10-12 день после их появления. Интересно отметить, что они обнаружили некоторые признаки COVID-19 у пациентов с отрицательными результатами анализов RT-PCR, что навело их на мысль, что положительный результат рентгеновского обследования грудной клетки может избавить врачей и пациентов от необходимости проведения КТ обследования, снизив тем самым нагрузку на КТ отделения.
Клинические признаки на рентгеновских снимках
Какие особенности на рентгеновском снимке указывают на COVID-19? Рентгенография грудной клетки может показывать неравномерные или диффузные асимметричные помутнения лёгочной ткани, похожие на пневмонию, но вызванную другими коронавирусами, говорится в статье доктора Джонатана Родригеса и его коллег, опубликованной 23 марта в журнале Clinical Radiology.
Между тем, исследователи из Вашингтонского университета в Сиэтле предоставили список из пяти самых распространённых признаков COVID-19 на рентгеновских снимках. Наиболее распространенным признаком было двустороннее ретикулярное узловое затемнение, обнаруженное в 52% случаев, за которым следовал синдром матового стекла в 48% случаев. Приблизительно через 72 часа после поступления пациентов эти показатели вырастали до 86% для ретикулярных узловых затемнений и 67% для синдрома матового стекла, написали они в своём исследовании, опубликованном 19 марта в JAMA.
Инфекционный контроль и рентгенография
Одним из преимуществ рентгенографии пациентов с COVID-19 является ее мобильность. Мобильные рентгеновские системы следует использовать для обследования пациентов с подозрением на COVID-19, а вспомогательный рентгенологический центр с мобильным рентгеновским оборудованием, предназначенным для проведения диагностической визуализации на COVID-19, можно даже устанавливать ближе к отделениям интенсивной терапии, что снижает риск заражения вирусом, пишет доктор Сохейл Кураки и его коллеги в номере журнала Journal of the American College of Radiology за апрель 2020 года.
Между тем, авторы Clinical Radiology также высказали своё мнение относительно инфекционного контроля, подчеркнув важность использования мобильных рентгеновских систем. Необходимо устанавливать системы для выявления пациентов из группы риска с подозрением на COVID-19, радиологический персонал должен быть обучен процедурам дезинфекции, а также — разделены «чистые» и «грязные» зоны.
Мобильная рентгенография также была одобрена рабочей группой Американского колледжа радиологии (ACR), созданной для борьбы с COVID-19, которая рекомендовала использование этого метода в амбулаторных учреждениях из-за лёгкости дезинфекции поверхностей оборудования, говорится в рекомендациях от 11 марта . В заявлении ACR центрам диагностической визуализации рекомендуется предусмотреть вентиляцию в помещениях с не мобильными рентгенографическими системами или КТ-сканерами — эти помещения возможно необходимо закрывать на вентиляцию на один час между приёмами пациентов, в зависимости от уровня циркуляции воздуха.
Какие рентген-аппараты оптимальны для диагностики COVID-19?
Для этих целей могут использоваться следующие современные рентген-аппараты:
- EPX-F2800 Ecotron (Южная Корея)
- MeX+100 Econet на T-штативе (Германия)
- MeX+100 Econet на перекатной тележке (Германия)
|
|
| Мобильный рентген MeX+100, Econet на T-штативе (Германия) | Мобильный рентген MeX+100 Econet на перекатной тележке (Германия) |
Палатный рентгеновский аппарат MobileDaRt Evolution, Shimadzu (Япония)
Стационарные рентген-аппараты
Стационарные рентгены мощностью от 52 кВт позволяют проводить экспертную рентгенографию лёгких у больных с коронавирусной инфекцией в рентген-кабинете. Как упоминалось выше, для исключения риска распространения инфекции в помещении для рентгенографии необходимо предусмотреть вентиляцию.
|
|
| Автоматизированный цифровой рентген типа U-дуга DIAMOND, DRGEM (Южная Корея) | Стационарный цифровой рентген на 2 рабочих места REDIKOM (GXR-S), DRGEM (Южная Корея) |
ИИ для рентгеновского обследования на COVID-19
Переход радиографии на цифровую визуализацию означает, что современные инструменты анализа изображений, ранее использовавшиеся исключительно для более продвинутых методов, теперь могут применяться и для нее. Самым передовым инструментом является искусственный интеллект (ИИ).
Команда учёных из Канады разработала алгоритм искусственного интеллекта с открытым исходным кодом под названием COVID-Net, который предназначен для обнаружения признаков заболевания на рентгенограммах грудной клетки. Они утверждают, что сверхточная нейронная сеть продемонстрировала почти 100% чувствительность и 83% точность при выявлении COVID-19 в небольшом массиве тестовых данных, но очевидно, что потребуется проведение дополнительных испытаний в реальных условиях. Свою работу они опубликовали 22 марта на arXiv.org.
По мере дальнейшего распространения пандемии нового коронавируса, врачи, находящиеся на переднем крае борьбы с ним, могут чаще обращаться к рентгенографии.
«Поскольку пандемия COVID-19 угрожает обрушить системы здравоохранения во всем мире, рентгенография грудной клетки может рассматриваться как один из инструментов для выявления COVID-19, но она менее чувствительна, чем КТ», — пишет в заключении Вонг и его коллеги в журнале Radiology.
|
Дата актуализации
|
08.08.2024 |





