УЗИ аппарат Samsung Medison V8 на базе искусственного интеллекта
Уважаемые партнеры и коллеги!
Рады сообщить, что в ассортименте нашей компании появился ультраинновационная УЗИ система экспертного (премиального) класса Samsung Medison V8. Этот ультразвуковой аппарат, функционирующий на базе искусственного интеллекта, предназначен для проведения исследований любого уровня сложности в области онкологии, пренатальной диагностики, неонатологии, гинекологии, урологии, а также общей радиологии, ортопедии, кардиологии и ангиологии.
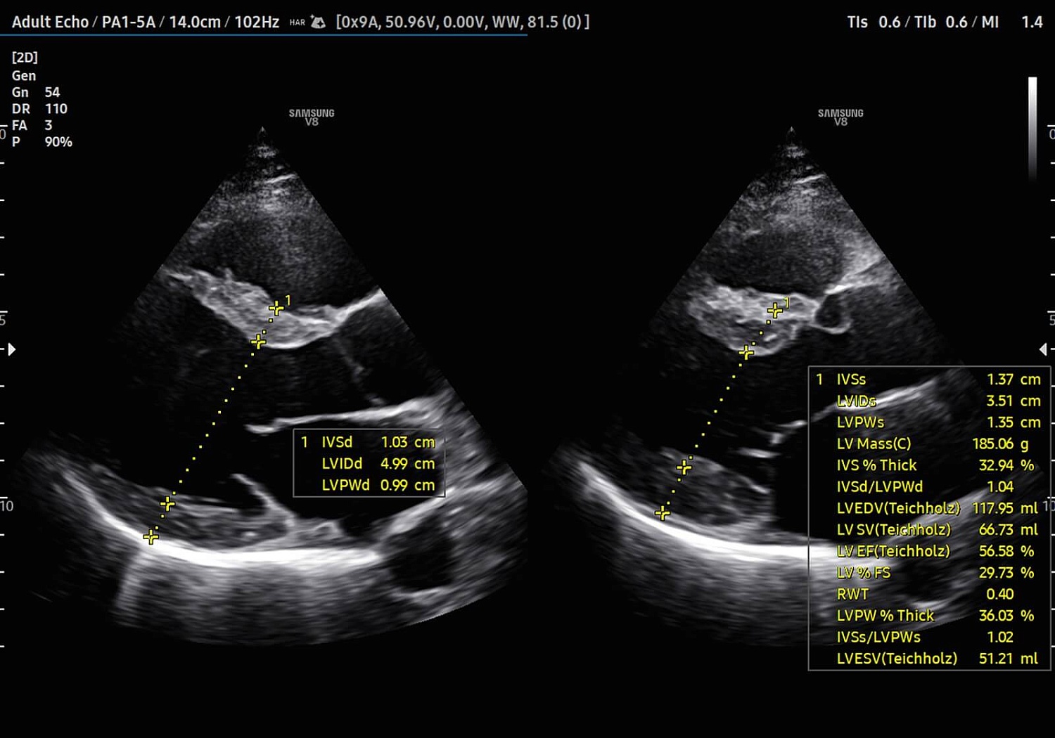
УЗИ аппарат V8 отличается превосходным технологическим оснащением, высочайшим уровнем визуализации и удобством использования. Многочисленные решения позволяют оптимизировать рутинный диагностический процесс, автоматически осуществляя измерения, расчеты и классифицируя выявленные изменения. Это значительно сокращает время на исследование и в разы повышает диагностическую точность. Помимо уже знакомых функций Biometry Assist, AutoIMT, 2D Follicle, 2DNT и пр., в модели реализована опция автоматического сегментирования структур сердца, автоизмерения с технологией Heart Assist, определение положения срединного нерва в поперечном сечении Nerve Track.
Среди других значимых нововведений экспертного УЗИ можно выделить:
- передовое аппаратное обеспечение;
- сложную усовершенствованную программную обработку УЗ-лучей;
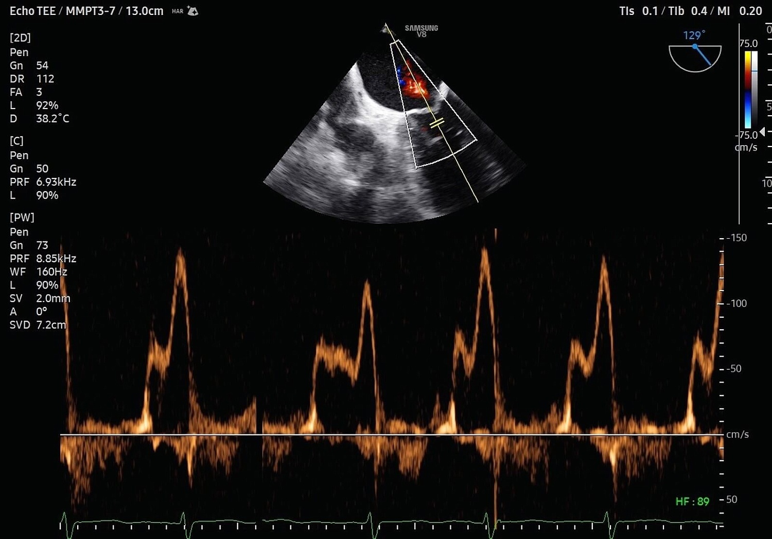
- уникальную технологию изготовления датчиков — линейные монокристаллические датчики с ультраширокой полосой частот в пределах 1-14 МГц для максимальной визуализации поверхностных и глубоких структур, а также конвексные датчики с уменьшенной шириной сканирующей поверхности для повышения информативности при проведении исследований в области межреберья;
- высокую скорость сканирования в 3D/4D режимах;
- комплиментарные инструменты, обеспечивающие получение расширенной диагностической информации при выявлении врожденной патологии плода и аномалий развития на ранних сроках беременности (полупрозрачная реконструкция Crystal Vue, визуальный источник света Realistic Vue);
- полный диагностический пакет для ранней диагностики диффузных изменений печени;
- контрастное усиление для дифдиагностики очаговых новообразований в органах и тканях;
- измерение жесткости сосудов и оценку параметров прохождения пульсовой волны и пр.
|
Оформите заявку на сайте, мы свяжемся с вами в ближайшее время и ответим на все интересующие вопросы.
|
Написать сообщение
|
