Превосходное качество изображения
- Возможность выбора автоматических программ сканирования
- Различные программы для каждого режима исследования, помогут обеспечить точную диагностику
Свободный выбор зон интереса
- Свободный выбор области сканирования и разрешения.
- Получайте оптимальные снимки с минимальным облучением
Выберите самый большой сенсор
Обеспечивает великолепное качество и максимальный размер изображения.
*23смХ14см и 23смХ24см
Режим ускоренного сканирования
Всего 7.7 сек. для выполнения исследования. Ускоренное сканирование минимизирует артефакты при движении пациента для получения точного и четкого изображения с наименьшим уровнем облучения. Минимальное воздействие на пациента.
*Используется при выборе области сканирования ЗУБ/ЗУБЫ
Технология "ONE-SHOT" для телерентгенографии
Режим сканирования ONE-SHOT сводит к минимуму артефакты при движении пациента. Вы получаете изображения в максимальном качестве и размере всего за 2 секунды!
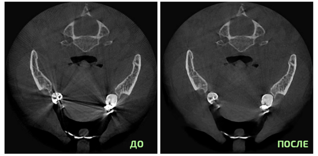
Улучшенная обработка изображений SMARF™
(функция подавления рентгеноконтрастности)
Существенно снижает “шум” от металлических конструкций, протезов и имплантатов для обеспечения оптимальной визуализации всех зон интереса.
Удобный доступ
Обновленная и функциональная система позиционирования пациента для любых вариантов расположения аппарата.
Обеспечивает удобство для всех пациентов и экономит ваше пространство.
Скрытое пространство для принадлежностей
Храните аксессуары и необходимые принадлежности под рукой.
Интеллектуальная система позиционирования
Путем создания базы данных, на основании уже сделанных исследований, и позиционирования предыдущих пациентов, вы можете создавать быстрые и удобные сканирования без каких-либо дополнительных корректировок.
Рентгеновская система 4в1
Путем преобразования полученных изображений КТ в STL формат вы можете подготовить цифровую модель для дальнейшей интеграции и получения конструкции в CAD/CAM системах.
Программное обеспечение
МНОГОФУНКЦИОНАЛЬНОЕ ПРОГРАММНОЕ ОБЕСПЕЧЕНИЕ THEIA™
Интегрированное решение с программным обеспечением Genoray Dental Software THEIA™
Сферы применения
- Ортодонтия
- Ортопедическая стоматология
- Оториноларингология
- Терапевтическая стоматология
- Хирургическая стоматология
- Челюстно-лицевая хирургия
Наиболее часто дентальные томограф с цефалостатом приобретают современные стоматологические клиники. Обследование на аппарате проводится у лиц, планирующих установку имплантов, протезов, брекет-систем (ТРГ-снимки, выполненные при помощи цефалостата), пломбирование каналов, удаление сложных непрорезавшихся зубов. Также аппарат позволяет отслеживать результаты лечения – промежуточные и окончательные.
Преимущества
- Разрешена инсталляция в жилых зонах
- Цефалостатическая приставка – для применения в ортодонтии
Применение цефалостатического модуля дает возможность выполнять ТРГ-снимки фронтальной и боковой проекцией черепа. Тем самым она обеспечивает комфортную работу врачам-ортодонтам и расширяет диагностические возможности в ортодонтии.
- Высочайшее разрешение – для максимально точной диагностики
Инновационные детекторы аппарата Genoray Papaya 3D с цефалостатом позволяют выполнять снимки с самым высоким расширением в своем классе – до 70 мкм. Чем выше разрешение, тем более четкими и контрастными получаются изображения и тем больше вероятность, что врач не пропустит мелкие патологические изменения.
- ПО «ТРИАНА» - для простоты управления
Программное обеспечение содержит весь функционал, который необходим для постановки диагноза и ведения пациентов: визуализация в режимах 2D и 3D, быстрая компьютерная обработка снимков, хранение, обмен данными и др.
- Автоматическое позиционирование – быстрая диагностика и комфорт для пациента
После процедуры аппарат автоматически возвращается в требуемое положение. Автоматическое позиционирование позволяет сразу же перейти к обследованию, что снижает тревожность пациента и повышает качество диагностики.
- Низкая доза облучения – безопасность исследований для врача и пациента
Высокочувствительные детекторы, а также особое строение рентгеновской трубки и датчиков аппарата КЛКТ позволяют получать снимки высокого качества при минимальных дозах облучения.
Особенности
-
Цефалостатический модуль в базовой комплектации
-
Разрешение в эндодонтическом режиме – 70 мкм
-
Подбородочный режим и автоматическое позиционирование
-
Голосовые оповещения для пациента
-
Позиционирование врача и пациента «лицом к лицу»
-
Алгоритм SMARF: уменьшает искажения от металлов
-
Рабочая станция (монитор, настроенный ПК, клавиатура) в комплекте
Характеристики
Параметры: | Значение/присутствие: |
|---|---|
Цефалостат | да |
Фокальное пятно | 0.5 мм |
Мощность излучателя | 60-90 кВ |
Сила тока на аноде: | 4-12 мА |
Размер воксела: | 70-400 мкм |
Угол анода: | 5° |
Тип диагностики: | панорама, КТ, ТРГ |
Шаг пикселя: | 0,1 мм |
Расположение обследуемого лицом к специалисту: | да |
Панорама, время сканирования: | 9-17 сек |
КТ, время диагностики: | 7.7-14,5 сек |
ТРГ (цефалометрия), длительность сканирования | 4-17 сек |
Размеры аппарата | 183.2 см х 113.1 см х 238.3 см |
Вес аппарата: | 160 кг |
Оплатить заказ вы можете, не выходя из дома или рабочего кабинета. Этапы оплаты для юридических лиц и ИП:
- Выберите необходимые товары на сайте.
- Свяжитесь с менеджером, чтобы перечислить интересующие позиции и узнать стоимость. Для этого нажмите кнопку «получить предложение», напишите на почту web@fujitora.com, закажите обратный звонок или позвоните по телефону в Москве 8 (495) 665-0-663.
- Предоставьте менеджеру данные вашей организации: название, адрес, ИНН (для поставщиков медоборудования – это реквизиты клиники, куда планируется поставка).
- Далее вы получите на электронную почту коммерческое предложение.
- Если стоимость и условия оплаты и доставки вас устраивают, наш сотрудник вышлет вам договор и счет на оплату.
- Проверьте документы и оплатите выставленный счет с расчетного счета вашей организации.
- После зачисления денежных средств мы организуем доставку товара на указанный адрес. Доставка осуществляется в любой населенный пункт или город в пределах Российской Федерации.
- Отслеживать статус доставки вам поможет менеджер, который курирует заказ.
Юридические лица для оплаты товаров перечисляют денежные средства на расчетный счет компании «Фуджитора». Оплатить заказ можно в любом банке России, в том числе онлайн. Оплата медоборудования государственными ЛПУ проходит строго в соответствии с законами РФ: 44-Ф3 и 223-Ф3.
Мы работаем с государственными ЛПУ, коммерческими клиниками, дистрибьюторами медицинского оборудования и физическими лицами. Всем нашим клиентам мы предоставляем удобные и безопасные условия оплаты:
- Частный сектор (коммерческие медцентры и поставщики оборудования) оплачивает оборудование по безналичному расчету.
- Продажа медтехники государственным медучреждениям осуществляется в соответствии с законами РФ: 44-Ф3 и 223-Ф3.
- Физические лица оплачивают товары путем перечисления денежных средств на расчетный счет компании – в любом банке России и без открытия банковского счета.

























































































































